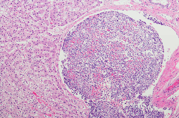
간경화 초기증상 10가지 총정리



간경화 초기증상은 증상이 나타나지 않거나, 미미한 증상만 나타나기 때문에, 무시하고 지나치기 쉬운 경우가 많습니다. 하지만, 이러한 초기 증상을 간과하면 질병이 진행되어 치료가 어려워질 수 있습니다. 따라서, 간경화 초기증상을 발견하면 적절한 검사와 치료를 받아 조기에 질병을 예방하고 치료할 수 있습니다. 따라서 이번 시간에는 간경화 초기증상에 대해 자세히 알아보도록 하겠습니다.
소화불량



간은 소화를 돕는 담즙을 생성하고, 소장으로 이동시켜 소화를 돕는 역할을 합니다. 따라서 간 기능이 감소하면 담즙 분비량이 줄어들어 소화불량 증상이 나타날 수 있습니다. 소화불량은 배부름감, 복통, 메스꺼움 등을 유발할 수 있습니다.
구토



구토는 간경화 초기증상 중 하나로, 소화 기능이 저하되면서 생기는 증상입니다. 간에서 분비되는 소화 효소의 분비량이 감소하거나 소화 기능을 하는 위와 장이 손상됨으로 인해 음식물이 소화되지 않아 구토를 유발할 수 있습니다. 이때 구토물은 쓸쓸하거나 녹색 또는 검은색일 수 있습니다.
체중 감소



체중 감소는 간경화 초기증상 중 하나로, 식욕 감퇴, 소화 기능 저하 및 대사량 감소 등으로 인해 발생할 수 있습니다. 간이 제대로 작동하지 않으면 체내 탄수화물, 단백질 및 지방을 분해, 대사 및 에너지생산에 문제가 생기며, 결과적으로 체중 감소가 나타날 수 있습니다.
입맛 감퇴



입맛 감퇴는 간경화 초기증상 중 하나로, 식욕감소 및 불쾌감을 유발할 수 있습니다. 간은 영양소의 흡수 및 대사에 중요한 역할을 합니다. 간기능이 저하되면, 영양소의 흡수 및 대사에 문제가 생기고, 이로 인해 입맛 감퇴와 같은 증상이 나타날 수 있습니다.
식욕 부진



간경화 초기증상 중 하나인 식욕 부진은 간 기능이 손상되어 식욕을 자극하는 호르몬 및 효소의 분비량이 감소하거나, 소화 기능이 저하되어 음식을 소화하지 못하는 경우 등으로 인해 발생할 수 있습니다. 이로 인해 체중 감소와 같은 증상이 나타날 수 있습니다. 또한, 식욕 부진은 영양소 섭취량이 감소하게 되므로, 영양실조 및 영양성 병리증의 위험도 증가할 수 있습니다.
위부불쾌감



간경화 초기증상으로 나타나는 위부불쾌감은, 간 기능이 손상되어 소화 효소나 산을 생성하는 능력이 저하되어 소화 과정에 문제가 생기거나, 간에서 분비되는 담즙의 양이 감소하여 소화에 필요한 기능을 수행하지 못하는 경우 등으로 발생할 수 있습니다. 이로 인해 위부 불편감, 구역질, 속쓰림 등의 증상이 나타날 수 있습니다.
오심



간경화 초기증상으로 나타나는 오심은, 위와 마찬가지로 간 기능이 손상되어 음식물이 소화되지 않아 소화물이 위에 머무르게 되거나, 간에서 분비되는 담즙의 양이 감소하여 소화에 필요한 기능을 수행하지 못하는 경우 등으로 발생할 수 있습니다. 이로 인해 오심과 함께 위부 불편감, 구역질 등의 증상이 나타날 수 있습니다.
두통



간경화 초기증상 중 두통은, 간 기능이 손상되어 생체 리듬이 균형을 잃거나, 간이 분해하거나 대사하는 데 필요한 물질의 수요를 충족시키지 못하는 경우 등으로 인해 발생할 수 있습니다. 이로 인해 두통, 어지러움, 혼돈 등의 증상이 나타날 수 있습니다.
피로감



간 기능이 감소하면서 혈액 속 독소가 쌓이고, 지방 대가 장애되어 에너지 대사가 원활하지 않게 되기 때문에 피로감이 느껴질 수 있습니다. 이는 식사 후에 더욱 심해질 수 있습니다.
복통



간의 역할 중 하나는 독소 제거이기 때문에, 간 기능이 감소하면 독소가 체내에 쌓일 수 있습니다. 이로 인해 복통이 발생할 수 있으며, 간이 부어오르거나 염증이 생기면서 발생하는 경우도 있습니다.
딸기 효능 12가지 총정리
딸기 효능 12가지 총정리 딸기(Strawberry)는 장미과(Rosaceae)에 속하는 과일로, 붉은색의 작고 달콤한 열매를 가지고 있습니다. 딸기는 전 세계적으로 널리 재배되며, 주로 봄과 여름철에 수확됩니다
pgupanddown.goodtory.kr
화장실 냄새 없애는 방법 10가지 총정리
화장실 냄새 없애는 방법 10가지 총정리 화장실에서 발생하는 냄새의 주된 원인은 인체 배설물과 배관내 청소를 위한 화학제품 등입니다. 이러한 물질들은 일반적으로 부패과정을 거쳐 악취를
pgupanddown.goodtory.kr
손톱에 세로줄이 생기는 이유 10가지 총정리
손톱에 세로줄이 생기는 이유 10가지 총정리 손톱 세로줄은 손톱을 건강하게 유지하는 것에 중요한 역할을 합니다. 만약 손톱 세로줄이 생기면, 손톱이 건강하지 않은 상태이거나 영양분이 부족
pgupanddown.goodtory.kr
'건강업' 카테고리의 다른 글
| 간경화에 좋은 식품 10가지 총정리 (0) | 2023.03.27 |
|---|---|
| 근육통 빨리 푸는 법 원인 총정리 (0) | 2023.03.27 |
| 갑상선에 좋은 음식 10가지 총정리 (0) | 2023.03.27 |
| 갑상선항진증 증상 10가지 총정리 (1) | 2023.03.27 |
| 심근경색 전조증상 총정리 (0) | 2023.03.27 |