


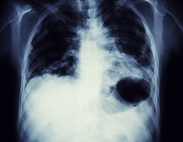
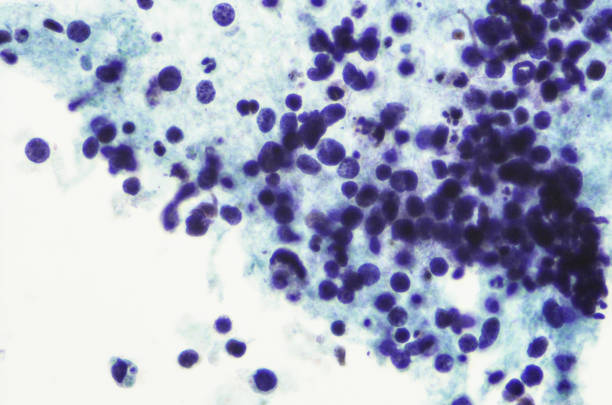
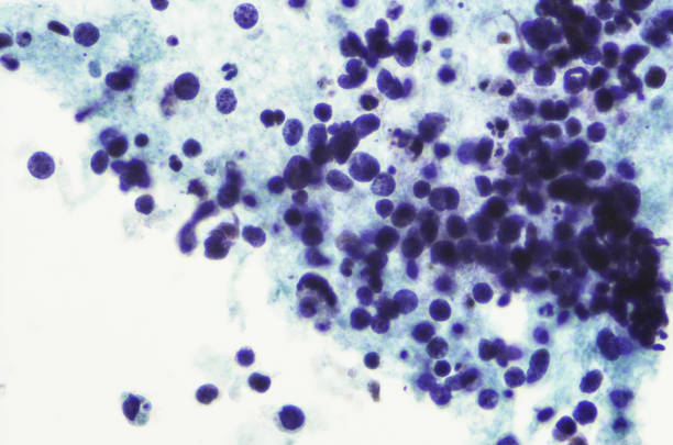
폐암은 초기에는 증상이 미미하거나 없을 수 있습니다. 그러나 조기에 발견하고 진단받으면 치료의 성공률이 훨씬 높아집니다. 초기에 폐암을 발견하면 조기 치료를 시작하여 종양의 성장과 전이를 제한할 수 있습니다. 뿐만 아니라, 치료에 있어 다양한 치료 방법을 활용할 수 있어 폐암 초기 증상을 잘 알고 있는 것이 중요합니다.
만성 기침



만성 기침은 기침이 장기간 지속되는 상태를 말합니다. 기침은 호흡기의 이상이나 자극을 나타내는 신호로 볼 수 있습니다. 폐암에서 기침은 종종 기침의 빈도와 심도가 증가하거나 변화하는 것으로 나타납니다. 기침은 맑은 가래일 수도 있고, 때로는 끈적거리거나 혈흔이 섞인 가래가 나올 수도 있습니다. 폐암으로 인한 기침은 일반적으로 악화되어 지속되며, 약물 치료에 반응하지 않는 경우가 많습니다.
가래끼는 증상



가래는 기침으로 인해 생기는 점막과 기타 분비물의 혼합물로, 폐암 초기증상 중 하나입니다. 가래는 비교적 무취하고 투명하거나 흰색일 수 있습니다. 그러나 폐암이 진행됨에 따라 가래의 색깔이 변하거나 혈흔이 섞일 수도 있습니다. 가래의 양이 증가하거나 지속적으로 나타날 경우, 이는 폐암의 가능성을 시사할 수 있습니다.
호흡 곤란 또는 천식과 비슷한 증상



호흡 곤란 또는 천식과 비슷한 증상은 폐암 초기증상 중 하나일 수 있습니다. 폐암이 호흡기의 기능을 저해하거나 기관의 폐색을 초래할 경우, 호흡 곤란이 발생할 수 있습니다. 이는 일상적인 활동 중에 숨이 차거나 호흡이 어려워지는 것을 의미합니다. 호흡 곤란은 천식과 유사한 증상이 있을 수 있으므로, 정확한 원인을 확인하기 위해 의사의 도움을 받는 것이 중요합니다.
흉통 또는 가슴 불편감



흉통 또는 가슴 불편감은 폐암 초기증상 중 하나입니다. 이 증상은 폐암이 주변 조직이나 신경에 압력을 가하거나 신경근을 침범할 때 발생할 수 있습니다. 흉통은 가슴의 어디에서든 발생할 수 있으며, 무증상에서 심한 통증까지 다양한 정도가 있을 수 있습니다. 때로는 흉통이 호흡과 관련되어 심해지거나 호흡 곤란과 동반될 수도 있습니다.
반복적인 폐렴 또는 기타 호흡기 감염



폐암의 초기증상 중 하나로 반복적인 폐렴 또는 기타 호흡기 감염이 나타날 수 있습니다. 이는 폐암이 호흡기 시스템을 약화시키고 면역 체계를 저하시키는 결과일 수 있습니다. 폐암으로 인해 호흡기의 방어 기전이 손상되면, 세균이나 바이러스에 노출될 때 폐렴이 발생하기 쉬워집니다. 이러한 폐렴은 반복적으로 발생할 수 있으며, 일반적인 감기나 기관지염 등의 호흡기 감염과 구분하기 어려울 수 있습니다. 만약 반복적인 폐렴이나 호흡기 감염이 계속되면, 폐암의 가능성을 의심하고 의사와 상담하는 것이 중요합니다.
피곤함 및 체력 저하



폐암 초기증상으로 피곤함 및 체력 저하가 나타날 수 있습니다. 폐암은 신체의 대사 과정을 방해하고 영양 공급을 감소시킬 수 있습니다. 또한, 종양 자체가 에너지를 소모하거나 암 조직에서 발생하는 화학물질이 피로감을 유발할 수 있습니다. 이로 인해 환자는 지속적인 피로감을 느끼며 일상적인 활동에 대한 체력이 감소할 수 있습니다. 만약 지속적인 피로감과 체력 저하가 있다면, 폐암의 가능성을 고려하고 의사와 상담하는 것이 필요합니다.
체중 감소 및 손상된 식욕



폐암 초기증상으로 체중 감소와 손상된 식욕이 나타날 수 있습니다. 암은 신체의 대사 과정을 변화시키고, 종양이 섭취한 영양소를 소모할 수 있습니다. 이로 인해 환자는 체중 감소를 경험할 수 있으며, 식욕이 감소되거나 손상될 수도 있습니다. 폐암은 종종 암성흡인증후군 (Cachexia)이라고 불리는 신체적인 손실 상태를 유발할 수 있습니다. 이는 식욕 감퇴, 체중 감소, 근육의 감소 및 체력 저하와 관련된 복합적인 상태입니다.
목소리 변화



폐암 초기증상으로 목소리 변화가 나타날 수 있습니다. 폐암은 기관에 압력을 가하거나 기관을 침범할 수 있으며, 이는 목소리 변화를 초래할 수 있습니다. 종양이 성문근에 영향을 주거나 성문 신경을 압박할 경우, 목소리가 쉽게 피로해지거나 쉽게 쉴 수 없는 상태가 될 수 있습니다. 목소리는 쉽게 피로하거나 얇아질 수 있으며, 혹은 거칠거나 코골이 소리와 같은 이상한 소리가 날 수 있습니다. 목소리 변화는 폐암 초기증상 중 하나이므로, 지속적인 목소리 변화가 있다면 의사와 상담하는 것이 중요합니다.
반복적인 골절 또는 골다공증



폐암 초기증상으로 반복적인 골절 또는 골다공증이 나타날 수 있습니다. 폐암은 종종 골조직에 전이될 수 있으며, 이로 인해 골절이 더 쉽게 발생할 수 있습니다. 암이 골조직에 퍼지면 골다공증이나 골손상이 발생할 수 있습니다. 또한, 암 자체가 인체 내의 무작위 골절 위험을 증가시킬 수도 있습니다. 반복적인 골절이나 골다공증이 있는 경우, 의사에게 상담하여 폐암의 가능성을 고려하고 추가적인 평가와 관리를 받아야 합니다.
소화계 문제 또는 간 이상



폐암 초기증상으로 소화계 문제 또는 간 이상이 나타날 수 있습니다. 폐암은 소화계에 압력을 가하거나 침범할 수 있습니다. 이는 소화불량, 위염, 소화성 궤양, 구역 등과 같은 소화계 증상을 유발할 수 있습니다. 소화계 문제로는 식욕 부진, 복부 통증, 구토, 메스꺼움, 속쓰림, 소화불량, 체중 감소 등이 있을 수 있습니다. 또한, 폐암이 주변 조직이나 혈관에 침범하면 간 이상도 발생할 수 있습니다. 이는 간 기능이 저하되거나 간 조직에 압력이 가해져 발생할 수 있습니다.
HDL콜레스테롤이란
HDL 콜레스테롤은 고밀도 지질 단백질이라고도 불리며, 혈액 내에서 지질을 수송하고 대사에서 제거하는 역할을 합니다. 이는 혈액 내의 나쁜 콜레스테롤인 LDL 콜레스테롤을 감소시키고 동맥경
pgupanddown.goodtory.kr
발등이 붓는 이유 10가지 알아보기
발등이 붓는 것은 심각한 질환의 증상이 될 수 있기 때문에, 원인을 파악하여 적절한 조치를 취하는 것이 중요합니다. 만약 발목이 붓거나 부어 올라가는 것이 지속되거나 다른 증상이 함께 나
pgupanddown.goodtory.kr
로즈힙 효능 10가지 알아보기
로즈힙은 장미과(Rosaceae) 식물로서, 북반구에서 자라며 열매를 수확하여 활용되는 식물입니다. 로즈힙은 비타민C, 비타민A, 칼슘, 철분 등 다양한 영양소를 함유하고 있어 건강과 미용에 좋은 효
pgupanddown.goodtory.kr
'건강업' 카테고리의 다른 글
| 단감 효능 10가지 자세히 알아보기 (0) | 2023.05.25 |
|---|---|
| 족저근막염 증상 7가지 알아보기 (0) | 2023.05.19 |
| 당귀 효능 10가지 알아보기 (0) | 2023.05.19 |
| HDL콜레스테롤이란 (0) | 2023.05.17 |
| 발등이 붓는 이유 10가지 알아보기 (0) | 2023.05.17 |